
El hijastro de Lucero está viviendo una segunda oportunidad en su vida. Hace un año sufrió una completa pesadilla mientras practicaba paracaidismo. Fue un gran susto para todos a su alrededor pero afortunadamente ahora se encuentra sano, feliz y agradecido con la vida.
Una situación que recordó con un collage de fotografías, donde destacó a todas esas personas que estuvieron apoyándolo con su recuperación.
"Siempre estaré agradecido con cada ser humano que estuvo involucrado en este proceso física y espiritualmente. Gracias", escribió en su Instagram.

Relató después que por un momento perdió el respeto por el deporte y fue un completo error que lo llevó al accidente más terrible de su vida. "Me llevó a una de las peores pesadillas que alguien pueda tener", confesó.
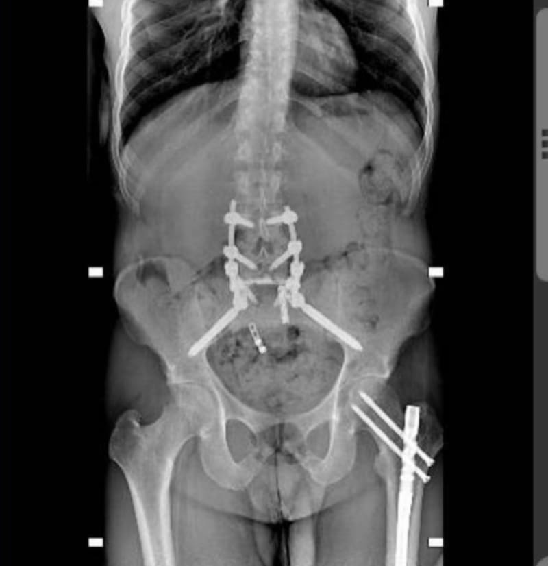
Recuerda que no podía mover el cuerpo del pecho a los pies después de estrellarse en el pecho a una velocidad de +100km/h. Estuvo por horas en el piso y se sometió a bastantes analgésicos mientras esperaba la ambulancia que desgraciadamente se equivocó y tuvo que esperar más.
Finalmente fue su hermana Ana Paula quien resolvió cómo llevarlo al hospital en helicóptero donde asegura, fue a un lugar oscuro con luz blanca hasta que volvió con una cachetada de ella. "En el helicóptero fui a un lugar oscuro donde había una luz blanca, cálida y pacífica. Después de que me vinieron miles de recuerdos, solo estaba agradecido por todo y prácticamente me estaba despidiendo, pero ella no lo permitió, mi hermana me devolvió la conciencia abofeteándome... y no pasaron ni cinco minutos cuando llegamos al hospital", escribió.
Entonces revivió su paso por el médico donde relata que después de una semana en Rhode Island entraría al quirófano donde al abrirle la espalda solo le encontraron un nervio sacro roto; es decir, un milagro. "Fue entonces cuando las cosas dieron un giro drástico al convertir una cirugía de 16 horas en una cirugía de 6 horas y la noticia de que iba a poder caminar de nuevo", contó.

Fue hasta el 8 de abril cuando por primera vez el hijastro de Lucero, hijo de Michel Kuri (la actual pareja de "La Novia de América") y Ana Paula O'Farril, pudo ponerse de pie. Fue hasta el 16 de abril cuando pudo dar sus primeros pasos con ayuda y esfuerzo.







